Leistungen
- Implantologie: ästhetische und funktionelle Zahnimplantate
- Ästhetische Zahnheilkunde (Kronen, Brücken, Bleaching, Veneers, festsitzende und abnehmbare Rekonstruktionen)
- CEREC-Füllungen direkt in der Praxis hergestellt (Ihre Vorteile: kein Abdruck, einmaliger Termin, keine Laborkosten)
- Invisalign (kieferorthopädische Behandlung für Erwachsene mit durchsichtigen Schienen)
- Wurzelbehandlung (Endodontologie)
- Dentalhygiene
- Zahnfleischbehandlungen (Paradontologie)
- Weisheitszahnbehandlung
- Knirschschienen
- Beissschutz für Sportler (Boxer, Eishockeyspieler)
- Zahnaufhellungen: Internal Bleaching, In-Office Bleaching (ZOOM), At-Home Bleaching
- Alterszahnmedizin
Zahnverletzungen, Fallbeispiele
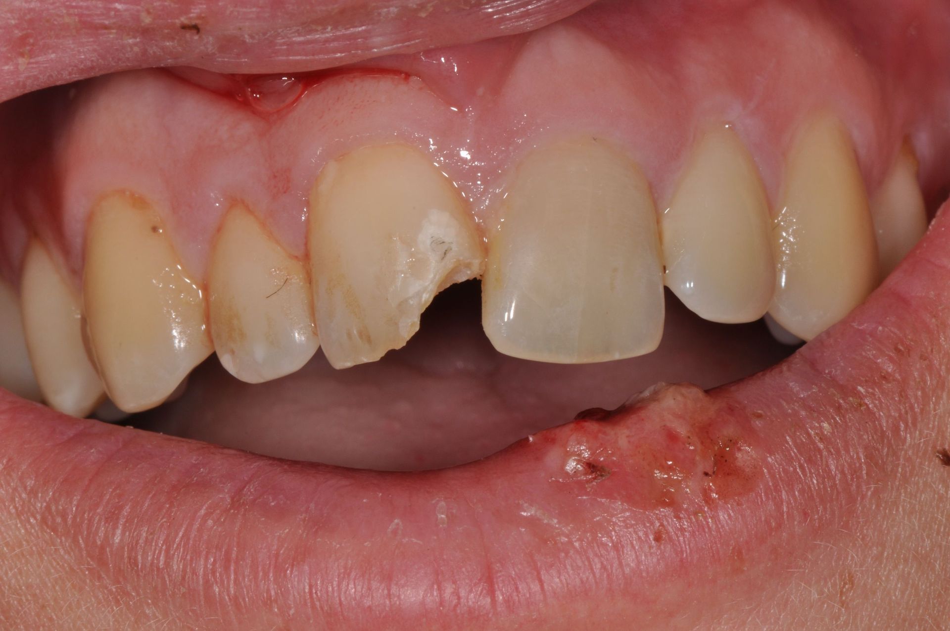
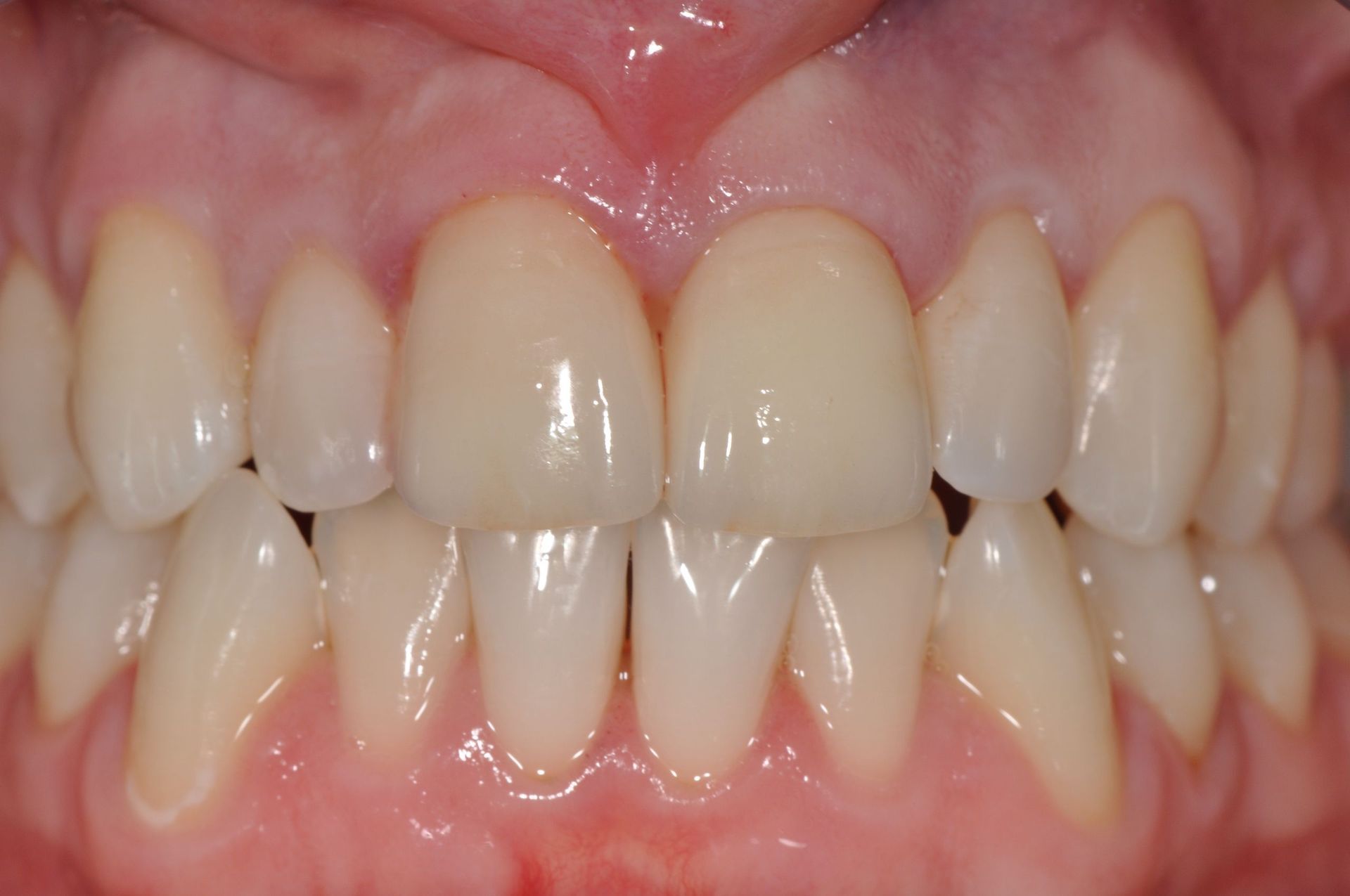
Bei diesem Unfall wurde ein Stück des Frontzahns abgebrochen. Er konnte wiederhergestellt werden.
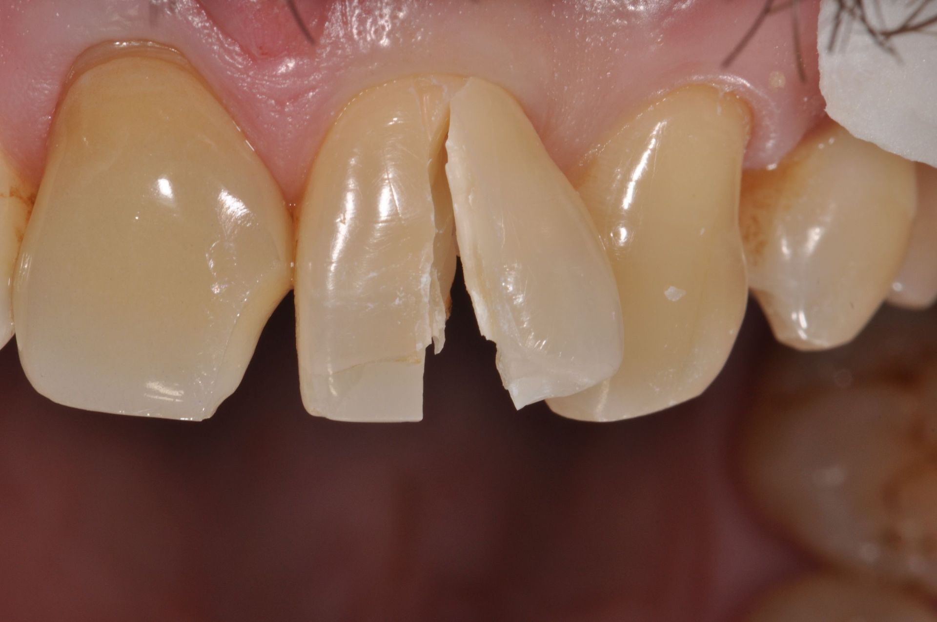
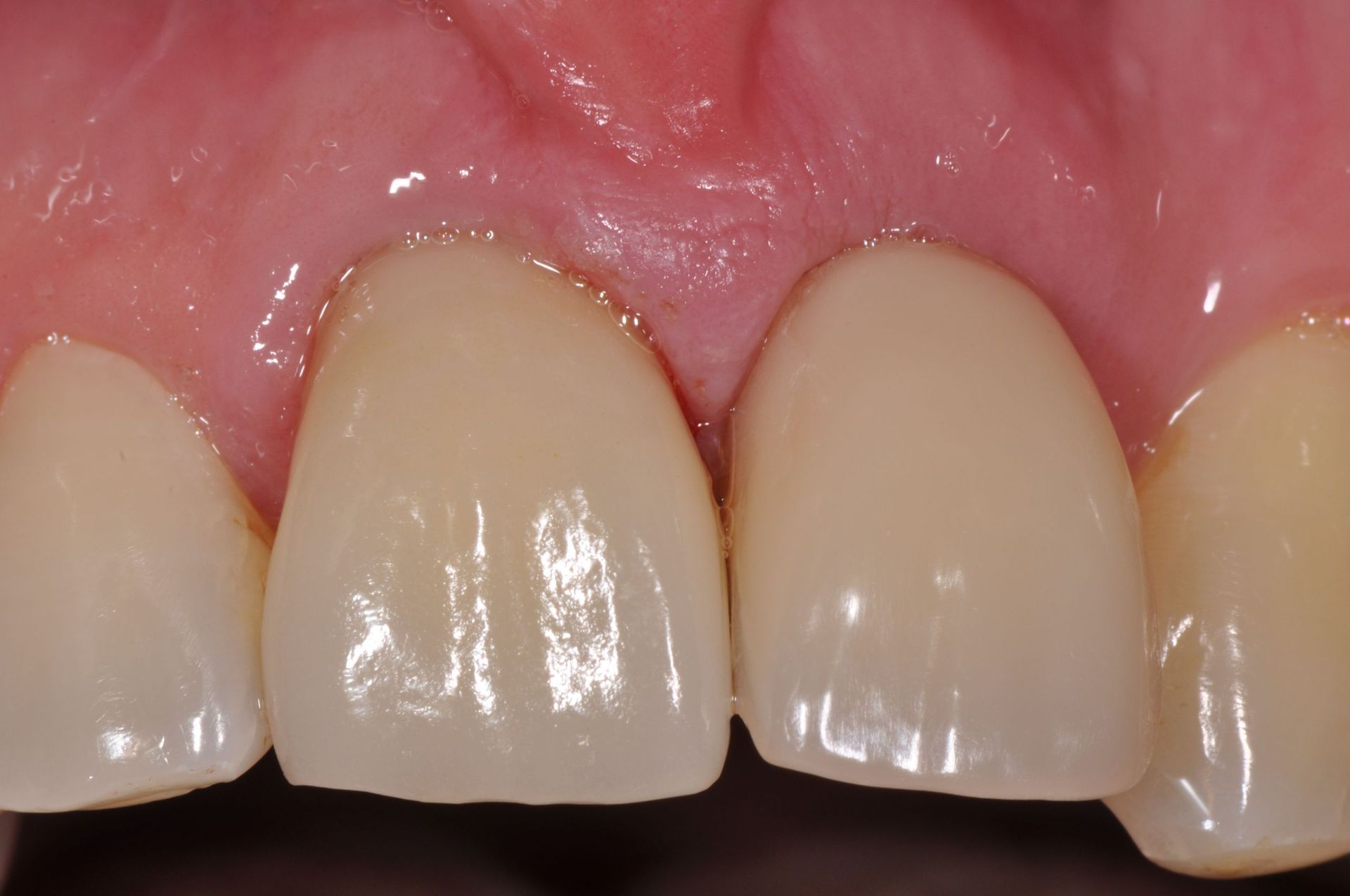
Selbst der arg gespaltene Zahn konnte wiederhergestellt werden. Vom Unfall ist nichts mehr sichtbar.
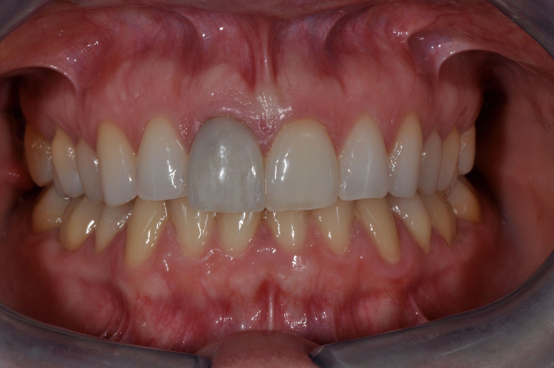
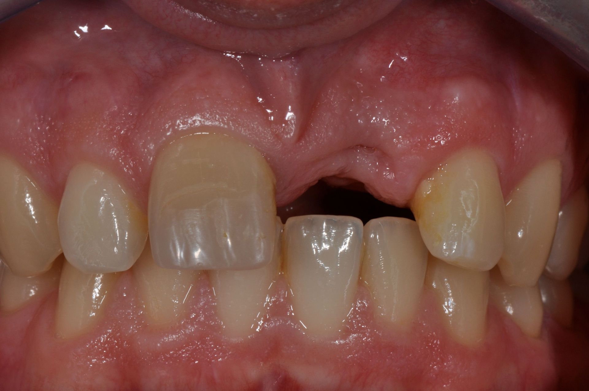
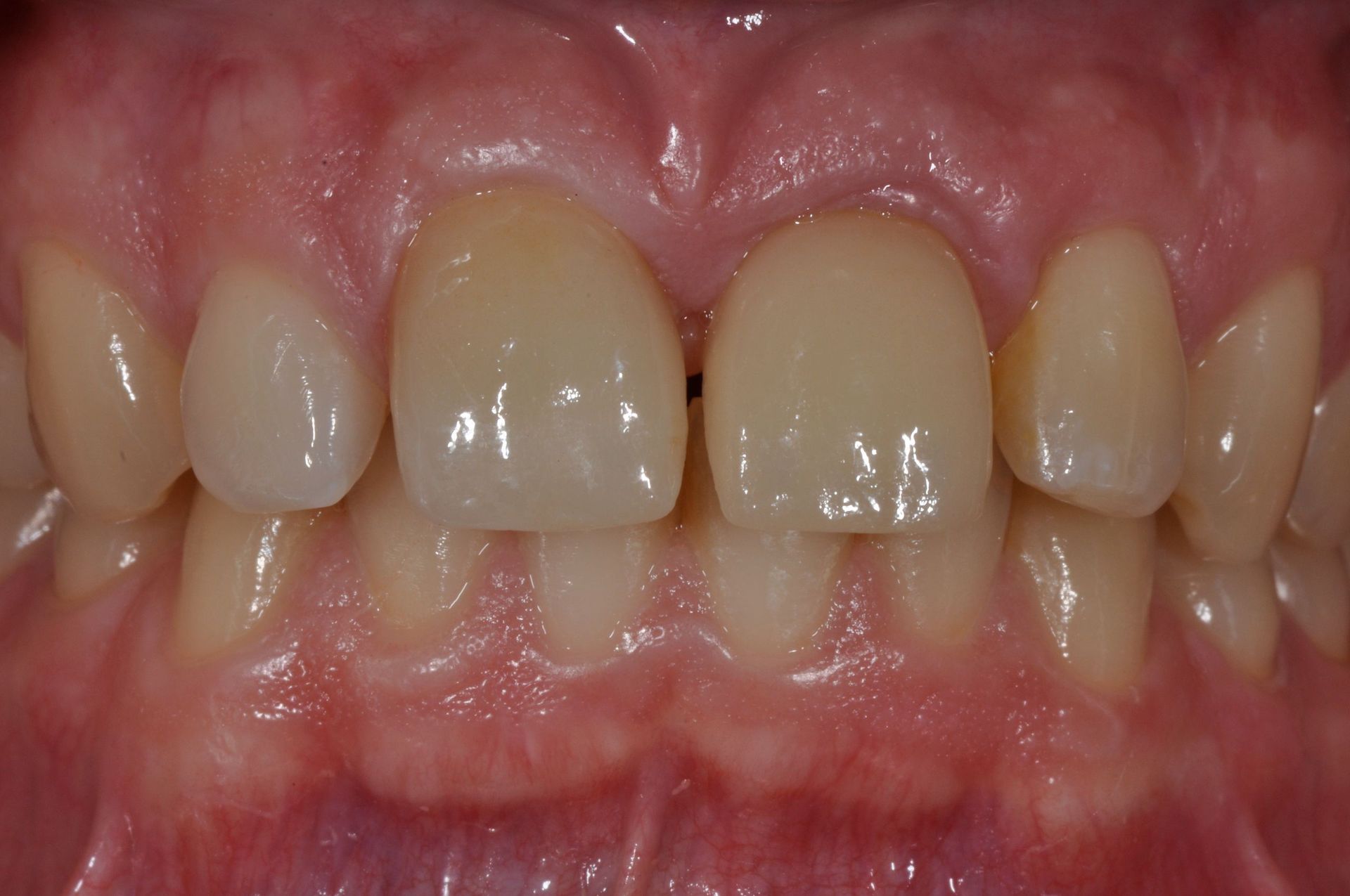
Der ausgeschlagene Frontzahn konnte nicht gerettet werden, es wurde ein Implantat gesetzt.







